110
匿名さん
>>109
狂人の理屈すぎてワロタ
言ってることまともじゃないし
おたく発達障害でしょ?
しかも喫煙者ときたら
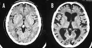
きっと画像のBみたいな脳ミソしてるんだね
発達障害の物分かりの悪さに加えて
喫煙の影響で脳が萎縮してるんじゃ
認知機能に異常をきたしてるのも当たり前
発達障害も脳萎縮も
たばこ止めても治らないし
ご愁傷さまだね

111
匿名さん
>>110
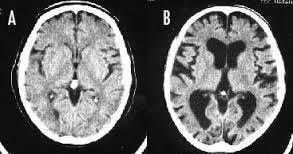
>>92の奴のおかげでたばこを吸ってなくてもBの脳になってしまうことが立証されたぞw
でも実際たばこ税は社会保証、健康福祉の金に使われてるんだからタバコを吸ってる奴が将来病院にかかる費用を払ってるものとして病院にかかる権利はあるとし早く死ぬんだから今のままでいいとして、嫌煙者は長生きしようとしてるのになんで喫煙者と同じ年金しか支払ってねーんだ?
寧ろ嫌煙者は長生きしようとしてる年金(名称はセンスがないとか言わないでねw)を余分に納めないとスジが通らなくない?w
112
匿名さん
喫煙者は臭いや有害物質をバラ撒いてんだから税金多くて当たり前。
ジャンクフードや酒は自ら食べたり飲んだりしなければ摂取できないんで自己責任。
タバコも煙を出さないようにすれば文句は出ない。いっそのことそのまま食べたら?
113
匿名さん
>>112
じゃ嫌煙者は長生きするんだから年金多く払うのも当たり前じゃない?
おー、国の年金問題を解決するすげーいい方法だ。
これから喫煙者と嫌煙者の平均寿命を出して、データ上出た倍率を今の嫌煙者の年金にかけて嫌煙者から徴収すればいい(≧∀≦)
平等で素晴らしいアイデアだと思わない?w
114
匿名さん
喫煙者は殺処分するか犬と同じ小屋で生活させればいいよ
115
匿名さん
>>113
あ、平均寿命じゃなく、平均年金需給年数の倍率を徴収ねw
116
匿名さん
>>114
お前さっさと金払ってから偉そうな事言えよw
117
匿名さん
>>116
金払ってまで有害物質を体に採り入れたくないよ
とりあえずさっさとしになよ
早くしにたいからタバコ吸ってるんだろうし君がいなくても誰も困らないよ
118
匿名さん
元はと言えば、マナーを守れない喫煙者が原因なんだよね。
喫煙所以外でアホみたいに吸ってるから、こんな不毛な言い争いになる。
119
匿名さん
>>118
争い事は常に、昭和時代の喫煙者や飲酒者が原因やで
昔は飲酒運転おーけーだったのにー
昔はどこででも喫煙おーけーだったのにー
ってな
120
匿名さん
禁煙に成功した人が、煙を嫌がったりするのを見ると...なんか笑える。
121
匿名さん
>>113
長生きは迷惑かけていませんからね(呆)
122
匿名さん
>>121
仕事が出来ないような無駄な長生きはとっても迷惑ですけどね
安楽死制度、是非とも取り入れて欲しいです
123
匿名さん
>>122
じゃ、君が先陣きってくれたまえ♪
124
匿名さん
>>123
仕事できない無能老害のあんたが先だよ
125
匿名さん
>>121
じゃなんで国は年金の額を年々減らしてるんだ?w
今の働いてる奴の将来の不安も長生きしすぎが原因
126
匿名さん
かといって自分の命は自分ではなかなか断つことは出来ないし、家族もして欲しくないだろう。
なら長生きしようと考えてる奴は必要な生活費がかかりそれを年金として貰うんだから、その分年金を多く払って貰うのは当たり前じゃないか?
127
匿名さん
俺はマナーを守って吸えよって嫌煙者の事はおっしゃる通りだと思う。
喫煙者に人権はねーだ言ってる奴がいるからここにいるw
後喫煙者も出来るだけマナーを守って出来るだけ頑張るから、嫌煙者も口から30分はとか言わずに、それくらいならしょうがないなとお互い妥協しあえるような社会になってくれたらと思う。
128
匿名さん
>>127
マナー守って吸っても吸ってないやつに害を与えてる事実はどう受け止めるの?タバコの匂い、アンタの体からも口からもしてるんだよ?
人権を否定されても当然
タバコなんて覚せい剤と同等だからね
129
匿名さん
>>127
間接的に人を殺してる喫煙者に対して
しょうがないなと妥協しろ?
自分がどれだけ都合のいいこと言ってるかわかってる?
ホント狂人
勝手に自滅するシャブ中のがよっぽどマシ
シャブ中は有害物質はバラ蒔かないからね