飲食店の屋内禁煙、喫煙者の4割以上が反対 「喫煙者の権利が守られていない!」

飲食店の屋内禁煙、喫煙者の4割以上が反対 「喫煙者の権利が守られていない!」

712コメント

このトピックをブックマーク

いいね! LINEで送る ブックマーク メールで送る
646

匿名さん

>>645 ↑ このように電子煙草は有害じゃないと自分都合で自己中発言をするから電子煙草も規制かけて大正解。 まだ紙巻きの方が有害だと認識してるのがいるだけマシだとさえ思える。
0
+3
647

匿名さん

>>642 だからそれがなくなるって分からないのか? キチガイ自己中嫌煙家って本当に馬鹿だな。
-4
0
648

匿名さん

お前ら犬のしょんべんみたいに所構わず吸うなよ ヤニカスが
-1
+5
649

匿名さん

飲食店の屋内禁煙、喫煙者の4割以上が反対 「喫煙者の権利が守られていない!」:コメント649
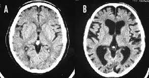
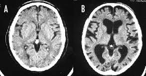
喫煙をすると、頭が悪くなるのは本当です。 長期の喫煙により、大脳皮質が薄くなり、認知機能が低下してしまうのです。 画像左(A)は正常な脳、右(B)は喫煙者の脳です。 正常な脳と比べて、喫煙者の脳は、萎縮して隙間だらけになってしまっています。 喫煙をやめても、元の状態に回復するまで、数十年はかかるそうです。

--- 「喫煙者の脳」やはり異変が起きていた(石田雅彦) - Yahoo!ニュース ---

タバコを吸うと脳がすっきりするのは真っ赤な嘘だ。研究によれば喫煙者の脳では明らかに異常が起きている。認知機能も低下し、大脳皮質が元に戻るのには25年もかかる。一刻も早くタバコなど止めたほうがいい。
0
+2
650

匿名さん

>>644 普通にうまそう(^¬^)
0
0
654

匿名さん

>>653 射精中毒は射精してる本人が狂ったように射精してテクノブレイクで勝手にしぬだろ。 射精中毒とニコチン中毒結びつけるとかお前、知的しょうがいしゃやろ?
0
+2
655

匿名さん

花電車でマン コで煙草吸う芸みて感動した!チンコじゃ無理!!!!
0
+2
656

匿名さん

喫煙するのは自由だけど、喫煙者は一概に常識ない人が多すぎます 平気で吸い殻捨てるけど自分の家の庭には捨てないでしょう
-2
0
657

匿名さん

喫煙者は精神障害者なので一般常識は通じません
-1
0
658

匿名さん

WHOやわけわからん機関のネガティブな喫煙データは過剰に使うくせにJTの有害物質99%カットのデータには難癖つける自己中禁煙派は常に話にならないのだよ
0
0
659

匿名さん

>>658 有害物質入ってるからかわらねぇよ発達障害喫煙者
0
0
660

匿名さん

>>659 は、じゃ君は車社会も否定するんだね、そういうことだよ。
0
0
661

匿名さん

受動喫煙(二次喫煙)対策は、具体的な法案も成立し、あとは、四月一日の全面施行を待つだけです。 しかし、対策が施行されても、受動喫煙による死者は、減ることはありません。 なぜならば、受動喫煙(三次喫煙)による被害が、なくならないからです。 三次喫煙とは、喫煙者の吐く息や、衣服に染みついたニコチンが、大気中の成分と化学反応を起こし、発ガン物質となり、周囲に被害をもたらすことです。 つまり、屋内を禁煙にしようが、どれだけ分煙をうたおうが、喫煙者が見えない毒の息を吐き、発ガン物質をまき散らしながら歩き回る以上、被害はなくならないのです。 そういった現状を改善するには、まずは周知することです。ツイッター、その他SNS、掲示板にどんどん拡散して下さい。 屋内禁煙、分煙は無意味です。喫煙者が存在する限り、ニコチンによる被害はなくなりません。 地上から煙草を撲滅しましょう。

--- 受動喫煙の対策済み病院にも落とし穴!「三次喫煙」に対する認識とマナー ---

しばしばメディアを騒がせる受動喫煙対策。世界各国と比べ、日本はとても遅れているとも指摘されています。三次喫煙や30分ルールなど、近年になって日本人も注目しはじめた新たな受動喫煙の形について、きちんと認識すべき時代が来ているのかもしれません。
-1
+11
662

匿名さん

「なくそう!望まない受動喫煙」Webサイト

--- なくそう!望まない受動喫煙。 ---

マナーからルールへ。2018年7月、健康増進法の一部を改正する法律が成立しました。2020年4月1日より全面施行となります。
予想より大きい受動喫煙の害

--- 予想より大きい受動喫煙の害 | 医療ポータルサイト ---

予想より大きい受動喫煙の害について解説しています。
受動喫煙で年1万5千人死亡

--- 受動喫煙で年1万5千人死亡 厚労省の推計が急増: 日本経済新聞 ---

受動喫煙が原因で死亡する人は、国内で年間約1万5千人に上るとの推計を厚生労働省の研究班が2日までにまとめた。
受動喫煙で子供6万人死亡

--- 受動喫煙で子供6万人死亡 WHO、対策強化求める: 日本経済新聞 ---

【ジュネーブ=共同】世界保健機関(WHO)は29日、受動喫煙が原因で死亡する人は年間100万人に上っており、5歳未満の子供も6万人以上が呼吸器感染症で犠牲になっていると発表し、各国に受動喫煙対策の強化を求めた。31日は世界禁煙デー。
たばこの総損失2兆円超

--- たばこの総損失2兆円超 15年度、厚労省研究班: 日本経済新聞 ---

たばこの害による2015年度の総損失額は医療費を含めて2兆500億円に上ることが、厚生労働省研究班の推計で9日までに分かった。たばこが原因で病気になり、そのために生じた介護費用は2600億円で、火災による損失は980億円だったことも判明した。
-1
+11
664

匿名さん

>>652 これこれ マジうまそう
0
0
665

匿名さん

タバコくさ
-1
+1
666

匿名さん

喫煙者は非喫煙者より、肺炎による死亡リスクが3倍高いっていってるね。 コロナのこの時期、タバコ吸うやつクレイジー
-2
+2
667

匿名さん

>>33 タバコ辞めて長生きしたらしたで 高齢者の医療費がって言うんだろ?
0
0
668

匿名さん

>>666 とっととしんでほしいものです 志村みたいに。 いや志村はまだ生きててほしかったけど。 老害どもは生き残るんだよね。本当に迷惑
-4
0
669

匿名さん

タバコ税は値上げしてるくせにおかしな話だな。 だから俺は歩きタバコもするし道端でも当たり前の様に捨ててる。
-3
+2

名前全8文字マデ

本文必須全4000文字マデ

※本文にサイトurlや画像urlを貼りつける事も可能です

画像5MBマデ

コメントを投稿