飲食店の屋内禁煙、喫煙者の4割以上が反対 「喫煙者の権利が守られていない!」

飲食店の屋内禁煙、喫煙者の4割以上が反対 「喫煙者の権利が守られていない!」

712コメント

このトピックをブックマーク

いいね! LINEで送る ブックマーク メールで送る
595

匿名さん

飲食店の屋内禁煙、喫煙者の4割以上が反対 「喫煙者の権利が守られていない!」:コメント595
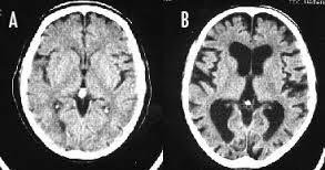
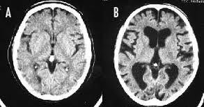
>>592 喫煙をすると、頭が悪くなるのは本当です。 長期の喫煙により、大脳皮質が薄くなり、認知機能が低下してしまうのです。 画像左(A)は正常な脳、右(B)は喫煙者の脳です。 正常な脳と比べて、喫煙者の脳は、萎縮して隙間だらけになってしまっています。 喫煙をやめても、元の状態に回復するまで、数十年はかかるそうです。

--- 「喫煙者の脳」やはり異変が起きていた(石田雅彦) - Yahoo!ニュース ---

タバコを吸うと脳がすっきりするのは真っ赤な嘘だ。研究によれば喫煙者の脳では明らかに異常が起きている。認知機能も低下し、大脳皮質が元に戻るのには25年もかかる。一刻も早くタバコなど止めたほうがいい。
0
+3
596

匿名さん

>>592 典型的な喫煙者の発言でワロタ
0
+1
597

匿名さん

キャバとかで吸ってる奴本当に迷惑。早く死んで欲しい
0
+2
598

匿名さん

>>592 そんなんだから肩身の狭い思いをすることになってるんだよ。 昔はどこでも吸えたのに、どんどん規制されていったのは、喫煙者のその考え方が行動やマナーに出てしまっている。 あなたが『他人』という人の中には、赤ちゃんや疾患を持った人も含まれているんだよ。 そういう人達を守るために規制されていったの。 この先、さらに規制が厳しくなるのかは喫煙者しだい。
0
+3
599

匿名さん

0
0
600

匿名さん

0
0
601

匿名さん

受動喫煙(二次喫煙)対策は、具体的な法案も成立し、あとは、四月一日の全面施行を待つだけです。 しかし、対策が施行されても、受動喫煙による死者は、減ることはありません。 なぜならば、受動喫煙(三次喫煙)による被害が、なくならないからです。 三次喫煙とは、喫煙者の吐く息や、衣服に染みついたニコチンが、大気中の成分と化学反応を起こし、発ガン物質となり、周囲に被害をもたらすことです。 つまり、屋内を禁煙にしようが、どれだけ分煙をうたおうが、喫煙者が見えない毒の息を吐き、発ガン物質をまき散らしながら歩き回る以上、被害はなくならないのです。 そういった現状を改善するには、まずは周知することです。ツイッター、その他SNS、掲示板にどんどん拡散して下さい。 屋内禁煙、分煙は無意味です。喫煙者が存在する限り、ニコチンによる被害はなくなりません。 地上から煙草を撲滅しましょう。

--- 受動喫煙の対策済み病院にも落とし穴!「三次喫煙」に対する認識とマナー ---

しばしばメディアを騒がせる受動喫煙対策。世界各国と比べ、日本はとても遅れているとも指摘されています。三次喫煙や30分ルールなど、近年になって日本人も注目しはじめた新たな受動喫煙の形について、きちんと認識すべき時代が来ているのかもしれません。
0
+21
602

匿名さん

「なくそう!望まない受動喫煙」Webサイト

--- なくそう!望まない受動喫煙。 ---

マナーからルールへ。2018年7月、健康増進法の一部を改正する法律が成立しました。2020年4月1日より全面施行となります。
予想より大きい受動喫煙の害

--- 予想より大きい受動喫煙の害 | 医療ポータルサイト ---

予想より大きい受動喫煙の害について解説しています。
受動喫煙で年1万5千人死亡

--- 受動喫煙で年1万5千人死亡 厚労省の推計が急増: 日本経済新聞 ---

受動喫煙が原因で死亡する人は、国内で年間約1万5千人に上るとの推計を厚生労働省の研究班が2日までにまとめた。
受動喫煙で子供6万人死亡

--- 受動喫煙で子供6万人死亡 WHO、対策強化求める: 日本経済新聞 ---

【ジュネーブ=共同】世界保健機関(WHO)は29日、受動喫煙が原因で死亡する人は年間100万人に上っており、5歳未満の子供も6万人以上が呼吸器感染症で犠牲になっていると発表し、各国に受動喫煙対策の強化を求めた。31日は世界禁煙デー。
たばこの総損失2兆円超

--- たばこの総損失2兆円超 15年度、厚労省研究班: 日本経済新聞 ---

たばこの害による2015年度の総損失額は医療費を含めて2兆500億円に上ることが、厚生労働省研究班の推計で9日までに分かった。たばこが原因で病気になり、そのために生じた介護費用は2600億円で、火災による損失は980億円だったことも判明した。
0
+20
603

匿名さん

飲食店の屋内禁煙、喫煙者の4割以上が反対 「喫煙者の権利が守られていない!」:コメント603
タバコに含まれる科学物質 アセトン、ヒ素、カドミウム、トルエン 名だたる有害物質がいっぱいです

--- タバコの危険物質は、ニコチン、タールだけじゃない - すぐ禁煙.jp(ファイザー) ---

タバコの煙に含まれる4,000種類の化学物質や、発がん性物質について、ニコチンの強い依存性についてご説明します。すぐ禁煙.jpで、あなたの住まいに近い病医院を簡単検索。お医者さんと一緒に禁煙しませんか?
0
+11
604

匿名さん

人の店なんだからルールに従えや
0
+8
605

匿名さん

喫煙者の権利ってなに? そんなありもしないものを振りかざして暴れるから義務によって無理矢理押さえつけられちまうんだよバカだねー
-1
+12
606

匿名さん

煙草くっさ
0
+9
607

匿名さん

喫煙者の権利=同性愛者の権利=ロリコンの権利=在日の権利
0
0
608

匿名さん

コンビニ前て喫煙所じゃないんだけどね 煙草吸ってる人が多くて臭くてたまらない
0
+6
609

匿名さん

>>608 知的障害の集まりだから仕方ないんじゃない?
0
+1
610

たかはー

いやいや 喫煙者は必ずマナー守らないから! 禁煙場所で必ず バレないように吸うだろ 吸わない人からしたら マナーを守ってても全てが不快! 喫煙する=全員死んでほしいね!!
0
+3
611

匿名さん

たかはーてw
0
0
612

匿名さん

というか、もうごちゃごちゃ言ってないでタバコを無くせばいいじゃん
0
+4
613

匿名さん

タバコが吸えなくて僻んでやがる、ばーか
-2
0
614

匿名さん

車から片手だして煙草の灰落としてる奴めっちゃイラっとする
0
+5

名前全8文字マデ

本文必須全4000文字マデ

※本文にサイトurlや画像urlを貼りつける事も可能です

画像5MBマデ

コメントを投稿