飲食店の屋内禁煙、喫煙者の4割以上が反対 「喫煙者の権利が守られていない!」

飲食店の屋内禁煙、喫煙者の4割以上が反対 「喫煙者の権利が守られていない!」

712コメント

このトピックをブックマーク

いいね! LINEで送る ブックマーク メールで送る
570

匿名さん

飲食店の屋内禁煙、喫煙者の4割以上が反対 「喫煙者の権利が守られていない!」:コメント570
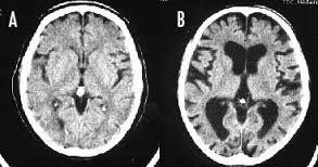
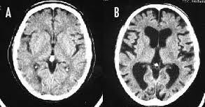
>>564 喫煙をすると、頭が悪くなるのは本当です。 長期の喫煙により、大脳皮質が薄くなり、認知機能が低下してしまうのです。 画像左(A)は正常な脳、右(B)は喫煙者の脳です。 正常な脳と比べて、喫煙者の脳は、萎縮して隙間だらけになってしまっています。 喫煙をやめても、元の状態に回復するまで、数十年はかかるそうです。

--- 「喫煙者の脳」やはり異変が起きていた(石田雅彦) - Yahoo!ニュース ---

タバコを吸うと脳がすっきりするのは真っ赤な嘘だ。研究によれば喫煙者の脳では明らかに異常が起きている。認知機能も低下し、大脳皮質が元に戻るのには25年もかかる。一刻も早くタバコなど止めたほうがいい。
0
+4
572

匿名さん

あくまでもこれは 僕のイチ個人的な考えですが。 タバコの中毒性がダメなら アルコールもカフェインも ドラッグも 砂糖も塩も脂も 全部アウトじゃない?中毒性あるよ? タバコが アレルギーだと言うのなら 蕎麦も小麦も ナッツも甲殻類も ホコリも花粉も ペットの毛もダメよね? 犬の散歩全面禁止ですか? 副流煙が害悪で不快なのはわかる。 香水の匂い撒き散らしてる人達って正直、本当に不快だから。 世の中どんどん禁止になっちゃうね? そのうちきっと 汗の匂い禁止 排気ガス禁止 うさんくさいのも禁止… 終わりが見えないし果てがない。 …あ、 イカ臭い、ガキ臭いも追加。 非喫煙者の気持ちはよくわかります。 喫煙をしない人にとって副流煙は身体に害でしかないですから。 ただそれを全部鵜呑みにして 喫煙者には意見を聞かないままの そんな国の一方的な取り組みはどうかと思います。 迫害されてる感すらある。 喫煙者だって 人に迷惑かけたいわけでもないし ただ嗜好品を楽しみたいだけなのですから。 一方的に場所をなくしつつ でもお偉いさんは わざわざ新築で喫煙所を作るとか ニュースになるようなそんなばかばかしい中途半端な事をされたら 喫煙者も非喫煙者も絶対に納得がいくわけがないと思います。 もう地区単位で完全に隔離された 喫煙エリアを作って 受動喫煙の完全防止策を徹底するとか 壁作ったら進撃の巨人みたいにはなっちゃいそうだけど。 喫煙がダメならダメで 法的に完全に廃止してしまって それまでの喫煙者には キチンと理由を説明した上で 国が徹底的に禁煙サポートするとか もちろんタバコ業界で働いている人達にも職のサポートをしなきゃだろうし 国を仕切る人達が それくらいの事をする 「覚悟」と「行動力」を持たないと いつまでたってもこの論争は 終わらないと思う。 上辺だけの中途半端な政策によって 非喫煙者も、喫煙者も どちらも苦しめられているのが現状だと思うんですよね。 喫煙者をただ悪者に仕立て上げるのではなく、ほんの少しだけの配慮をして頂けると、もっと非喫煙者の方とも歩み寄れると思うんです。
-6
+2
573

匿名さん

>>571 生活保護と比べないと優良だと言えないのか?
-2
0
574

匿名さん

>>572 まあ、ここはタバコのスレだからね。
-2
0
575

匿名さん

>>572 自分も全く同じ意見ですm(__)m
-4
0
576

匿名さん

>>573 書いたの俺じゃないけど、非喫煙者と比べて優良納税者でしょ! こういうと損失が~とか出てくると思うが納税って税を納める事なのでそれは関係ない。 非喫煙者はタバコ税以外の納税。 喫煙者はそれプラスタバコ税なんだから非喫煙者と比べて優良納税者で間違いない。
-5
0
577

匿名さん

>>572 長文で身勝手なこと言ってるだけ 受動喫煙で死にたくないので歩み寄って来ないで下さい
0
+7
578

匿名さん

0
0
579

匿名さん

0
0
580

匿名さん

0
0
581

匿名さん

受動喫煙(二次喫煙)対策は、具体的な法案も成立し、あとは、四月一日の全面施行を待つだけです。 しかし、対策が施行されても、受動喫煙による死者は、減ることはありません。 なぜならば、受動喫煙(三次喫煙)による被害が、なくならないからです。 三次喫煙とは、喫煙者の吐く息や、衣服に染みついたニコチンが、大気中の成分と化学反応を起こし、発ガン物質となり、周囲に被害をもたらすことです。 つまり、屋内を禁煙にしようが、どれだけ分煙をうたおうが、喫煙者が見えない毒の息を吐き、発ガン物質をまき散らしながら歩き回る以上は、被害はなくならないのです。 そういった現状を改善するには、まずは周知させることです。ツイッター、その他SNS、掲示板でどんどん拡散して下さい。 屋内禁煙、分煙は無意味です。喫煙者が存在する限り、ニコチンによる被害はなくなりません。 地上から煙草を撲滅しましょう。

--- 受動喫煙の対策済み病院にも落とし穴!「三次喫煙」に対する認識とマナー ---

しばしばメディアを騒がせる受動喫煙対策。世界各国と比べ、日本はとても遅れているとも指摘されています。三次喫煙や30分ルールなど、近年になって日本人も注目しはじめた新たな受動喫煙の形について、きちんと認識すべき時代が来ているのかもしれません。
0
+32
582

匿名さん

「なくそう!望まない受動喫煙」Webサイト

--- なくそう!望まない受動喫煙。 ---

マナーからルールへ。2018年7月、健康増進法の一部を改正する法律が成立しました。2020年4月1日より全面施行となります。
予想より大きい受動喫煙の害

--- 予想より大きい受動喫煙の害 | 医療ポータルサイト ---

予想より大きい受動喫煙の害について解説しています。
受動喫煙で年1万5千人死亡

--- 受動喫煙で年1万5千人死亡 厚労省の推計が急増: 日本経済新聞 ---

受動喫煙が原因で死亡する人は、国内で年間約1万5千人に上るとの推計を厚生労働省の研究班が2日までにまとめた。
受動喫煙で子供6万人死亡

--- 受動喫煙で子供6万人死亡 WHO、対策強化求める: 日本経済新聞 ---

【ジュネーブ=共同】世界保健機関(WHO)は29日、受動喫煙が原因で死亡する人は年間100万人に上っており、5歳未満の子供も6万人以上が呼吸器感染症で犠牲になっていると発表し、各国に受動喫煙対策の強化を求めた。31日は世界禁煙デー。
たばこの総損失2兆円超

--- たばこの総損失2兆円超 15年度、厚労省研究班: 日本経済新聞 ---

たばこの害による2015年度の総損失額は医療費を含めて2兆500億円に上ることが、厚生労働省研究班の推計で9日までに分かった。たばこが原因で病気になり、そのために生じた介護費用は2600億円で、火災による損失は980億円だったことも判明した。
0
+31
584

匿名さん

>>583 しね障害者
-1
+7
585

匿名さん

>>572 他がいいならタバコもいいとはならない。
0
+6
586

匿名さん

>>572 ワロタw 寄ってくんなクセーからw
-1
+6
590

匿名さん

飲食店の屋内禁煙、喫煙者の4割以上が反対 「喫煙者の権利が守られていない!」:コメント590
タバコに含まれる科学物質 アセトン、ヒ素、カドミウム、トルエン 名だたる有害物質がいっぱいです

--- タバコの危険物質は、ニコチン、タールだけじゃない - すぐ禁煙.jp(ファイザー) ---

タバコの煙に含まれる4,000種類の化学物質や、発がん性物質について、ニコチンの強い依存性についてご説明します。すぐ禁煙.jpで、あなたの住まいに近い病医院を簡単検索。お医者さんと一緒に禁煙しませんか?
0
+4
591

匿名さん

>>9 で?
-3
0
592

匿名さん

吸いてぇヤツはどこでも吸えばいいんだよ。いつから禁煙者が偉くなったんだよ。アホばかりの現代で他人に気を使う意味がわからん。
-5
+1
593

匿名さん

>>592 喫煙者の代表的な人間性。
0
+5
594

匿名さん

>>593 いや、言いたい事はわかる。 ここにいる嫌煙者が喫煙者に言ってる事これと一緒だぞ。
-4
0

名前全8文字マデ

本文必須全4000文字マデ

※本文にサイトurlや画像urlを貼りつける事も可能です

画像5MBマデ

コメントを投稿