認知症の数十万人「原因は処方薬」という驚愕

認知症の数十万人「原因は処方薬」という驚愕

51コメント

このトピックをブックマーク

いいね! LINEで送る ブックマーク メールで送る
24

匿名さん

>>18 むしろアル中やギャンブル中、喫煙中毒者は廃人になっていいと思うんだよね。害しか与えないからそういうヤツらは というかアル中になって肝臓壊して、ナマポになるとか何様?って思う
0
+7
25

14

15さんありがとう。 もう、1年くらい続いてます。 ありもしない、(イマイマどうこうなる訳でもない)事勝手に想像して一人勝手に悩んで、悲しんでるんです。 今日は土曜だし、明日特に早起きしなこゃないこともないので薬抜いて、眠れないなら眠れないなりに、台所整理でもしてみようかな? いろいろ気にかけてくれてありがとう。 嬉しかった。
-2
+8
26

15

>>25 ^^
-1
+4
27

匿名さん

23 後出しでドヤってますけど 本来そのような判断は、医者がするもので素人の患者がするものじゃないでしょ?
0
+16
28

匿名さん

>>27 同意 最近の夜ちゃんは噛み合わない会話で絡んでくる発達さんが多くてめんどくさい
-1
+15
29

匿名さん

お前らみんな発達障害だろ キモイからしんでくれ
-16
+1
30

匿名さん

>>29 貴方よりマシだよ。 頼むからタヒんでくれ!
-2
+11
31

匿名さん

ハルシオン一日二錠飲んでたときは健忘がひどかった やめたら治ったから認知症とはまた違うのか よくわからん
-9
+7
32

匿名さん

副作用に健忘と書いてある薬を飲み続ければ認知症になるのは当たり前だろ 喫煙の習慣化やアルコールの過剰摂取でも認知症になる
0
+11
33

匿名さん

>>32 副流煙でも認知症になる?
0
+7
34

匿名さん

惚けたら安楽死すれば家族も安心
-9
0
35

匿名さん

認知症の数十万人「原因は処方薬」という驚愕:コメント35
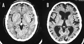
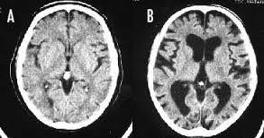
>>33 どうだろう、副流煙ではわからないけど 長期の喫煙で大脳皮質が薄くなって認知機能が低下するのはガチらしい 画像の左(A)は正常の脳で右(B)は喫煙者の脳 喫煙者の脳は萎縮して隙間だらけになってる 詳しくはリンク先参照

--- 「喫煙者の脳」やはり異変が起きていた(石田雅彦) - Yahoo!ニュース ---

タバコを吸うと脳がすっきりするのは真っ赤な嘘だ。研究によれば喫煙者の脳では明らかに異常が起きている。認知機能も低下し、大脳皮質が元に戻るのには25年もかかる。一刻も早くタバコなど止めたほうがいい。
0
+8
36

匿名さん

認知症になるくらいまで長生きしなければ何の問題もないだろ
-18
+1
37

匿名さん

認知症って物忘れのイメージがあるけど 理解力や判断力にも影響するんだよね >>36 こういう判断力のおかしい人って既に認知症なんだと思う
0
+17
38

匿名さん

>>37 お前と同じだな粗大ゴミ
-7
+2
39

匿名さん

>>38 負け惜しみの捨て台詞が小学生レベル
-1
+7
40

匿名さん

最近、認知症(あえて『ボケ』と言ってみる)って神様が、人間の体にプログラミングしてんじゃないかな?って思えてきた。 死の恐怖から逃がす為にボケさせて死を迎えさせるのかな?って。 関わった人はたまらないけどね。 私はピンピンコロリで逝きたい。
0
+4
41

匿名さん

>>40 浅はかだなチンパンジー
-6
+1
42

匿名さん

>>39 お前なんで涙目なんだ?負け犬
-5
+2
43

匿名さん

>>42 同じこと二度いわせるなよ
-1
+5

名前全8文字マデ

本文必須全4000文字マデ

※本文にサイトurlや画像urlを貼りつける事も可能です

画像5MBマデ

コメントを投稿