コンビニでタバコ買うとき「番号で言え」「銘柄覚えろ」で大激論

コンビニでタバコ買うとき「番号で言え」「銘柄覚えろ」で大激論

1771コメント

このトピックをブックマーク

いいね! LINEで送る ブックマーク メールで送る
1641

匿名さん

>>1640君はなかなかの愛国者だな!
-1
+1
1642

匿名さん

何度も言うようだが、番号で呼ばれると刑務所を思い出すので止めろ!
-2
+1
1643

匿名さん

セルフレジ専用にして、画面で選択して決済したら店員がもってくる方式にしたら 昼の混んでる時間帯にタバコでモタモタされると迷惑すぎる
-2
0
1647

匿名さん

店員と客の間に上下関係はない。
-2
0
1648

匿名さん

コンビニでタバコ買うとき「番号で言え」「銘柄覚えろ」で大激論:コメント1648
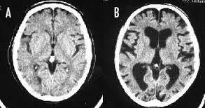
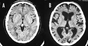
喫煙者のカキコが馬鹿ばかりな理由↓ 喫煙すると頭が悪くなるのは本当です。 長期の喫煙により大脳皮質が薄くなり、認知機能が低下してしまうのです。 画像Aは喫煙しない人の脳、画像Bは喫煙者の脳です。 画像Aの脳と比べて、画像Bの脳は萎縮して隙間だらけになっています。 喫煙をやめても元の状態まで回復するのに数十年かかるそうです。

--- 「喫煙者の脳」やはり異変が起きていた(石田雅彦) - Yahoo!ニュース ---

タバコを吸うと脳がすっきりするのは真っ赤な嘘だ。研究によれば喫煙者の脳では明らかに異常が起きている。認知機能も低下し、大脳皮質が元に戻るのには25年もかかる。一刻も早くタバコなど止めたほうがいい。
-1
+3
1654

匿名さん

>>1653 共民度ってなんですか?
-3
+1
1655

匿名さん

>>1654 おまえ共、民度の低いって読めば一応意味はわかるよ 揚げ足ばかりとってないで、人が言わんとしてることを察してあげれる度量を持とうよ 言葉を額面通りにしか受け取れないのは発達障害だよ
-1
+3
1656

匿名さん

>>1658おまえども?そんな日本語は無い どうして面識のない暴言を撒き散らしてる人を察してあげるんだ?度量を持とうよ?うるせーわ!どの口が言ってんだ? 言葉を額面通りに受け取るの使い方間違ってるわ!発達障害のキチジジイ!
-3
+1
1657

匿名さん

>>1656 >そんな日本語は無い それはあなたの思い込みです 人の数だけ造語はあるのです 繰り返しになりますが、人が言わんとしてることを察してあげれる度量を持ちましょう でなければ会話が続きません 会話はキャッチボールです いちいち揚げ足をとってボールを止めていては コミュ障と呼ばれてしまいますよ? あなたはコミュ障ですか?
-1
+2
1658

匿名さん

>>1657 余裕綽々のあんたの勝ちw
-1
+2
1671

匿名さん

>>1654 あーぁ 煽るつもりで書いたんだろうけど逆に煽られて発狂ってかなりかっこ悪いキミ
-1
+2
1677

匿名さん

>>671
0
0
1678

匿名さん

>>669 見事な程の不正投票。嫌煙キチガイがトピックに張り付いてる証拠ですよ。
-2
0
1679

匿名さん

>>1678今さら何言ってんの?おまえの事だょ!ボケが
0
+1
1680

匿名さん

何度も言うが、銘柄で言え❗番号だと刑務所を思い出す!ボケが
0
+2
1681

匿名さん

>>1679 おい!今からセッタ買ってこいやボケ!
-1
0
1682

匿名さん

>>1681おまえさぁ、包茎ティムポぶら下げてノンキに一人前に吠えてんじゃねぇぞ!これ以上生意気垂れてると生活保護受給打ち切って母国強制送還するぞ!おまえって、チョンゴニなのか?
0
+1
1683

匿名さん

>>1682ごめんなさい、生活保護打ち切りだけは勘弁してくれょう!
0
0
1684

匿名さん

>>1681おまえの珍宝が腐りますようにお祈りします!そしておまえの母さんが腐りますようにお祈りします!またおまえの母さんが風俗辞めれますようにお祈りします!
-3
+1
1685

匿名さん

たかがタバコで番号言う言わん銘柄でわかれとかでそんなに揉めることかい 喫煙者って心に余裕がねーんじゃねぇの?
-1
+2

名前全8文字マデ

本文必須全4000文字マデ

※本文にサイトurlや画像urlを貼りつける事も可能です

画像5MBマデ

コメントを投稿