「ルール守っているのに、なぜ...」 過熱する「タバコ叩き」、喫煙者の本音は

「ルール守っているのに、なぜ...」 過熱する「タバコ叩き」、喫煙者の本音は

4670コメント

このトピックをブックマーク

いいね! LINEで送る ブックマーク メールで送る
4067

匿名さん

>>4066 >喫煙者は煙草の臭いがするだけな。 お前さん、かなりのヘビースモーカーだね? 嗅覚が破壊されてるから 分からないだけ。単に煙草の臭いではない。「異臭」なんだよ。といっても 理解できないだろうが。お前さんの周りの人々は、さぞ迷惑に思ってるだろうね。
0
+3
4068

匿名さん

>>4066 タバコの匂いがする。 それはつまり、タバコの有害な成分が鼻から体内に侵入したということ。 赤ちゃんや子供や病人にまで有害なタバコの匂いを撒き散らす。 香水ババアと同じで喫煙者にはタバコ臭は分からないだろうけど。
0
+3
4069

匿名さん

>>4063 別にお前に向けてのコピペじゃない。 喫煙者、非喫煙者含めてお前以外の人も見るだろう。 それを想定して、ページが変わっても見てもらえるようにコピペしてるんだよ。 ここを覗きに来た人がわざわざ遡る人ばかりじゃないからな。 CMみたいなもんだと思え。 1日何回も同じCM見るだろ? そんな感じだと思ってろ。
-1
+5
4070

匿名さん

「ルール守っているのに、なぜ...」 過熱する「タバコ叩き」、喫煙者の本音は:コメント4070
受動喫煙(二次喫煙)対策は具体的な法案も成立し、あとは来年の全面施行を待つだけです。 しかし、来年以降になっても受動喫煙による死者は減ることはありません。 なぜか?それは受動喫煙(三次喫煙)による被害がなくならないからです。 三次喫煙とは、喫煙者の吐く息や衣服に染みついたニコチンが空気に触れることで化学変化を起こし、発ガン物質となり周囲に被害をもたらすことです。 つまり、屋内を完全禁煙にしようがどれだけ分煙をうたおうが、喫煙者が見えない毒ガスを吐き、発ガン物質を撒き散らしながら歩き回る以上は全くの無意味なのです。 そういった現状を改善していくには、まずは周知することです。ツイッターその他SNS、掲示板にどんどん拡散して下さい。 屋内禁煙、分煙は無意味です。喫煙者が存在する以上はニコチンによる被害はなくなりません。 地上から煙草を撲滅しましょう。

--- 受動喫煙の対策済み病院にも落とし穴!「三次喫煙」に対する認識とマナー ---

しばしばメディアを騒がせる受動喫煙対策。世界各国と比べ、日本はとても遅れているとも指摘されています。三次喫煙や30分ルールなど、近年になって日本人も注目しはじめた新たな受動喫煙の形について、きちんと認識すべき時代が来ているのかもしれません。
-1
+7
4071

匿名さん

「ルール守っているのに、なぜ...」 過熱する「タバコ叩き」、喫煙者の本音は:コメント4071
喫煙者が吐く息は体に悪い 副流煙による受動喫煙が身体に悪いことはご存知だと思いますが、喫煙者がたばこを吸った後に吐く息にも発がん性物質等、大量の有害物質が含まれていることを覚えておいてください。 さらに厄介なことに、喫煙者が吐く息には、喫煙後1時間経っても有害物質が含まれています。 例えば、一酸化炭素は最後の1本を吸ってから、最低8時間は息から出ているそうです。 喫煙後、吐く息によって有害物質を撒き散らし、周囲の空気を汚し続けているという訳です。

--- 喫煙後30分間はアナタは毒を巻き散らかして周りを不健康にしています : 身体軸ラボ シーズン2 ---

という画像。http://www.jatahq.org/tobacco_ngo/poster/2018jataposter.pdf禁煙ポスターhttp://www.jatahq.org/tobacco_ngo/tobacco-poster.htm奈良県生駒市が、喫煙した職員は「45分間、エレベーターの利用を禁止」とする受動喫煙対策を4月1日から導入する。庁内での表示で
-1
+6
4072

匿名さん

「ルール守っているのに、なぜ...」 過熱する「タバコ叩き」、喫煙者の本音は:コメント4072
タバコによる損失は タバコによる収益を遥かに凌駕する これほど馬鹿な話はない タバコ税収「約2兆5000億円」 喫煙による経済損失「約4兆3000億円」以上 2017/4/20(木) 7:30

--- タバコの経済的デメリットはメリットを凌駕する(石田雅彦) - Yahoo!ニュース ---

タバコは国庫に大きな税収をもたらす。一方、医療費などで経済的な損害を及ぼしている、という指摘もある。タバコの値上げも含めて喫煙の経済的なメリットデメリットを考えてみる。
-1
+6
4073

匿名さん

「ルール守っているのに、なぜ...」 過熱する「タバコ叩き」、喫煙者の本音は:コメント4073
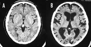
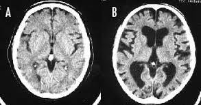
「喫煙者の脳」やはり異変が起きていた ・タバコを吸うと大脳皮質が薄くなる ・タバコを吸うと認知機能が落ちる ※写真は左Aが正常の脳、右Bが喫煙者の脳です。 左の脳と比べて右の脳は隙間だらけになってしまってします。

--- 「喫煙者の脳」やはり異変が起きていた(石田雅彦) - Yahoo!ニュース ---

タバコを吸うと脳がすっきりするのは真っ赤な嘘だ。研究によれば喫煙者の脳では明らかに異常が起きている。認知機能も低下し、大脳皮質が元に戻るのには25年もかかる。一刻も早くタバコなど止めたほうがいい。
-1
+6
4074

匿名さん

>>4064 あ、いやいや。 もちろんあなたが嫌煙家のことを言っているのはわかるよ。 考えることが出来なくなるのは可哀想だよ。 でも考えることが出来なくなるのは喫煙者でも可哀想じゃないのかな?と思ったんだけど、あなたの書き方だと、喫煙者なら可哀想じゃないとも読み取れるからさ。 ちょっと疑問に思っただけだよ。 あんまり突っかからないでね(^_^;) 怖いから?
-1
+6
4075

匿名さん

>>4066 タバコの匂いがする「だけ」。 これが喫煙者の悪なところ。 匂いがするとはどういうことか? 鼻からタバコの有害な成分が体内に侵入したということ。 匂いを感じ取った時点で被害被っている。 それを『匂いがするだけ』と言いきる悪。
0
+6
4076

匿名さん

>>4069に同意 コピペは他の板でも見かけるしPR活動みたいなものだろ >>4063 お前なんかハナから相手にされてないのに自意識過剰なんちゃう?
-1
+5
4077

匿名さん

一匹のヤニカスが今日も大暴れ(笑)
0
+3
4078

匿名さん

>>4067 喫煙者だからと言っても臭いがするのは煙草臭だけだって。 それ以外に臭いのなら煙草ではなくその人の体臭なり別の原因だろって理解出来ないのか? 自分の臭いだから分からないとかじゃないんだよ。
0
0
4079

匿名さん

>>4068 論点が違うのが分からない馬鹿なのか?
0
0
4080

匿名さん

>>4069 必死かどうかと言ってるだけで必死になった「理由」なんて聞いてないけど? お前が勝手にコピペしてるんだからこっちが勝手にコメントするのも自由だよな? 勝手に思ってろと縛りつけられてもコメントだってするわ。 勝手にCMを流すならCMに対して何か言う奴もいるだろ? そう思ってれば?
0
0
4081

匿名さん

>>4074 それは俺が喫煙者ならこうだけどと言ってた場合だよね? 俺は喫煙者の事には触れていない状況で嫌煙家の事だけをいじってる。 お前が勝手に言ってない事まで考えてるからおかしいんだよ。 怖いのは話を勝手な解釈しか出来ない頭だよ。
-1
+1
4082

匿名さん

>>4075 その人からの臭いについて言ってるだけな? 一人の人間から出る臭いで煙草が関係あるのは煙草の臭いだけだろ。 あのコメントには周りの人に影響があるとかそんな話になってないんだわ。 してない話を持ってくるから馬鹿だって言われるんだよ。
0
0
4083

匿名さん

>>4076 相手にされてないとか都合の良い逃げかたなんてどっちでも良いんだけど相手にされてないのなら俺にアンカーなんて付かないんだけど? 矛盾してるのが分からない馬鹿なんだな。 それにその必死なコピペの連投だって俺がコメントしなきゃ新たに投稿する事もないんだから相手にしてないなんて辻褄が合わないわな。 相手にしてないのなら俺が何を言ってもシカトするなりコメントやコピペをしない事だよな。 直接的にじゃなくて間接的にでもコピペで潰してるのなら相手にしてないとはならないんだよ。
0
0
4084

匿名さん

>>4077 と喚く事しか出来ない一匹の嫌煙家(笑)
0
0
4085

匿名さん

>>4082 お~・・・今日も1人でニコチン中毒者が屁理屈付けて回っておるわいwww 毒を吸って楽しいか? そりゃ~良かったな。今時、煙草を吸う、天下の笑い者。
0
0
4086

匿名さん

>>4085 内容については反論出来ないから誤魔化してコメントするだけだよなwww 先天的な発達障害ってそれしか逃げ道ないから残念だよなwww
0
0

名前全8文字マデ

本文必須全4000文字マデ

※本文にサイトurlや画像urlを貼りつける事も可能です

画像5MBマデ

コメントを投稿