「ルール守っているのに、なぜ...」 過熱する「タバコ叩き」、喫煙者の本音は

「ルール守っているのに、なぜ...」 過熱する「タバコ叩き」、喫煙者の本音は

4670コメント

このトピックをブックマーク

いいね! LINEで送る ブックマーク メールで送る
4047

匿名さん

「ルール守っているのに、なぜ...」 過熱する「タバコ叩き」、喫煙者の本音は:コメント4047
喫煙者が吐く息は体に悪い 副流煙による受動喫煙が身体に悪いことはご存知だと思いますが、喫煙者がたばこを吸った後に吐く息にも発がん性物質等、大量の有害物質が含まれていることを覚えておいてください。 さらに厄介なことに、喫煙者が吐く息には、喫煙後1時間経っても有害物質が含まれています。 例えば、一酸化炭素は最後の1本を吸ってから、最低8時間は息から出ているそうです。 喫煙後、吐く息によって有害物質を撒き散らし、周囲の空気を汚し続けているという訳です。

--- 喫煙後30分間はアナタは毒を巻き散らかして周りを不健康にしています : 身体軸ラボ シーズン2 ---

という画像。http://www.jatahq.org/tobacco_ngo/poster/2018jataposter.pdf禁煙ポスターhttp://www.jatahq.org/tobacco_ngo/tobacco-poster.htm奈良県生駒市が、喫煙した職員は「45分間、エレベーターの利用を禁止」とする受動喫煙対策を4月1日から導入する。庁内での表示で
0
+7
4048

匿名さん

「ルール守っているのに、なぜ...」 過熱する「タバコ叩き」、喫煙者の本音は:コメント4048
タバコによる損失は タバコによる収益を遥かに凌駕する これほど馬鹿な話はない タバコ税収「約2兆5000億円」 喫煙による経済損失「約4兆3000億円」以上 2017/4/20(木) 7:30

--- タバコの経済的デメリットはメリットを凌駕する(石田雅彦) - Yahoo!ニュース ---

タバコは国庫に大きな税収をもたらす。一方、医療費などで経済的な損害を及ぼしている、という指摘もある。タバコの値上げも含めて喫煙の経済的なメリットデメリットを考えてみる。
0
+7
4049

匿名さん

「ルール守っているのに、なぜ...」 過熱する「タバコ叩き」、喫煙者の本音は:コメント4049
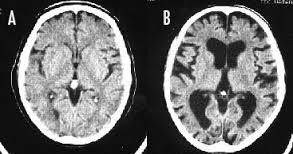
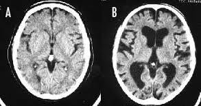
「喫煙者の脳」やはり異変が起きていた ・タバコを吸うと大脳皮質が薄くなる ・タバコを吸うと認知機能が落ちる ※写真は左Aが正常の脳、右Bが喫煙者の脳です。 左の脳と比べて右の脳は隙間だらけになってしまってします。

--- 「喫煙者の脳」やはり異変が起きていた(石田雅彦) - Yahoo!ニュース ---

タバコを吸うと脳がすっきりするのは真っ赤な嘘だ。研究によれば喫煙者の脳では明らかに異常が起きている。認知機能も低下し、大脳皮質が元に戻るのには25年もかかる。一刻も早くタバコなど止めたほうがいい。
0
+8
4050

匿名さん

脳が縮小退化してる感じだな喫煙者 これじゃまともな思考もできないだろ
0
+5
4051

匿名さん

>>4043 え? マジで分からんの? ヤバくない? これでわかると思っているからそのように書いてあって、俺はこれで分かった。 お前はなぜ分からない? 俺とお前の差はなんだろう? あっ、そうか。 ニコチン汚染の差か。
-1
+5
4052

匿名さん

>>4036 ほー、批判はしてないのかい? そうかコピペ容認か。 ではこれからウダウダ言わないでくれるかい?
0
+4
4053

匿名さん

>>4045 それってつまり、ニコチンの影響を受けて考えることが出来なくなるのは可哀想じゃないってこと? なんで?
-2
0
4054

匿名さん

>>4053 ニコチンのせいで頭空っぽになるのは自業自得じゃんか ぜんぜん可哀想じゃないよ
0
+2
4055

匿名さん

>>4054 そう。本人が望んで喫煙した結果が脳の萎縮。自業自得。 困ったことに喫煙者はその自覚がない。その間、体は蝕まれ続け 本人の自覚がないままに脳がどんどん退化していく。 喫煙、恐るべし。
0
+2
4056

匿名さん

喫煙者っておしっこのにおいがする 強烈なアンモニア臭
0
+3
4057

匿名さん

>>4056 喫煙者って全身から異臭がするよね。本人は無自覚みたいだけど。 新幹線で奮発してグリーン車に乗って、隣に喫煙者が来たら最悪。 何時間も臭い体臭を我慢しなければならない、すごく腹が立つ! 余計に金を払って何で不愉快な思い&害を受けねばならんのだ?
0
+2
4058

匿名さん

>>4044おまえさぁどんだけ暇なんだょ、ここにくだらない書き込みしてんじゃねぇぞそんな暇あったらまじめに仕事探せょなニートくん❗
-1
0
4059

匿名さん

こっそり書き込んでんじゃねーよ 気持ち悪いんだから
-1
0
4060

匿名さん

>>4049 左が正常で右がヤニカス? 黒い部分は空洞? なんかやばすぎてひく
0
+2
4061

匿名さん

>>4051 あれで分かってるつもりの馬鹿には理解出来ないよな。 間違ってるものを間違いとして認識してないんだからそう錯覚しても仕方ないよ。 まずは自分が低能なんだと自覚するところから始めないとな。 生まれつきイカれてると無理かもしれないが頑張れよ。
0
0
4062

匿名さん

>>4050 生まれつきの発達障害のお前にまともな思考回路が皆無なんだけどね。
0
0
4063

匿名さん

>>4052 内容についてではなくコピペの連投が必死だって言ってるんだが? 未だに理解出来ないとか低能過ぎるよな。
-1
+1
4064

匿名さん

>>4053 喫煙者の事ではなく嫌煙家の事を言ってるんだよ? そんな事も理解出来ないから嫌煙家は馬鹿にされるんだよ。
0
0
4065

匿名さん

>>4054 >>4055 お前らみたいに生まれつきイカれてる奴らは可哀想だよな。 自分が何かした訳でもないし異常者だって自覚もないし。
-2
+1
4066

匿名さん

>>4056 >>4057 喫煙者は煙草の臭いがするだけな。 異臭で煙草臭じゃないならその人の体臭だろ。 嫌煙家って馬鹿みたいに何でも都合良くまとめるよな。 更に反論出来ないと相手にしてない振りで反論から逃げる。 逃げるくせに反論出来ないのが悔しいからか悔し紛れにマイナスでせめてもの抵抗。 惨め過ぎるな。
-2
+1

名前全8文字マデ

本文必須全4000文字マデ

※本文にサイトurlや画像urlを貼りつける事も可能です

画像5MBマデ

コメントを投稿