å¿åãã
喫煙をすると頭が悪くなるのは本当です。
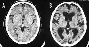
長期の喫煙により大脳皮質が薄くなり、認知機能が低下してしまうのです。
※画像左(A)は正常の脳、右(B)は喫煙者の脳です。
左の脳と比べて、右の脳は萎縮し隙間だらけになっています。
喫煙をやめても元の状態に回復するまで数十年かかるそうです。
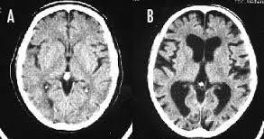
長期の喫煙により大脳皮質が薄くなり、認知機能が低下してしまうのです。
※画像左(A)は正常の脳、右(B)は喫煙者の脳です。
左の脳と比べて、右の脳は萎縮し隙間だらけになっています。
喫煙をやめても元の状態に回復するまで数十年かかるそうです。
--- 「喫煙者の脳」やはり異変が起きていた(石田雅彦) - Yahoo!ニュース ---
タバコを吸うと脳がすっきりするのは真っ赤な嘘だ。研究によれば喫煙者の脳では明らかに異常が起きている。認知機能も低下し、大脳皮質が元に戻るのには25年もかかる。一刻も早くタバコなど止めたほうがいい。


