å¿åãã
>>4341
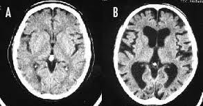
大脳皮質が薄くなり認知機能が落ちる
『たばこ脳』
※写真は左Aが正常の脳、右Bが喫煙者の脳です。
左の脳と比べて右の脳は隙間だらけになってしまっています。
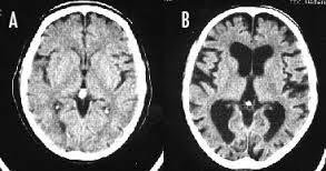
大脳皮質が薄くなり認知機能が落ちる
『たばこ脳』
※写真は左Aが正常の脳、右Bが喫煙者の脳です。
左の脳と比べて右の脳は隙間だらけになってしまっています。
--- 「喫煙者の脳」やはり異変が起きていた(石田雅彦) - Yahoo!ニュース ---
タバコを吸うと脳がすっきりするのは真っ赤な嘘だ。研究によれば喫煙者の脳では明らかに異常が起きている。認知機能も低下し、大脳皮質が元に戻るのには25年もかかる。一刻も早くタバコなど止めたほうがいい。


