コンビニでタバコ買うとき「番号で言え」「銘柄覚えろ」で大激論

コンビニでタバコ買うとき「番号で言え」「銘柄覚えろ」で大激論

1771コメント

このトピックをブックマーク

いいね! LINEで送る ブックマーク メールで送る
1633

匿名さん

日本代表選手にクロン棒はいらない!
0
+1
1632

匿名さん

>>1630それはね!おまえが知恵遅れの障害者だからだょ!坊や
0
+2
1631

匿名さん

コンビニでタバコ買うとき「番号で言え」「銘柄覚えろ」で大激論:コメント1631
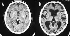
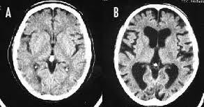
喫煙すると頭が悪くなるのは本当です。 長期の喫煙により大脳皮質が薄くなり、認知機能が低下してしまうのです。 画像Aは喫煙しない人の脳、画像Bは喫煙者の脳です。 画像Aの脳と比べて、画像Bの脳は萎縮して隙間だらけになっています。 喫煙をやめても元の状態まで回復するのに数十年かかるそうです。

--- 「喫煙者の脳」やはり異変が起きていた(石田雅彦) - Yahoo!ニュース ---

タバコを吸うと脳がすっきりするのは真っ赤な嘘だ。研究によれば喫煙者の脳では明らかに異常が起きている。認知機能も低下し、大脳皮質が元に戻るのには25年もかかる。一刻も早くタバコなど止めたほうがいい。
0
+3
1630

匿名さん

自分で吸ってる煙草の名前は俺もわからない❗
0
+1
1629

匿名さん

>>1628おまえが正しい!おまえが正論❗優良喫煙者や優良納税者を敬え!
0
+2
1628

匿名さん

結論出てるじゃん どちらが多いとか多数とかじゃない、相当数の「銘柄覚えろ」派がいる以上 番号で統一になんかならないしできないの、アホは諦めろ
-1
0
1627

匿名さん

>>1623バカタレ
0
+2
1626

匿名さん

>>1621おまえの母国ではそうなのか⁉️チョンゴニ君
0
+2
1625

匿名さん

>>1623おまえの珍宝が腐りますようにお祈りします!
0
+2
1624

匿名さん

>>1623おまえの母さん風俗辞めれたのかぁ?親を大切にしろょな!
0
+2
1623

匿名さん

>>1622 お前のことなんか知るかよ。
-2
0
1622

匿名さん

>>1621だから何度も言ってんだろが❗番号で言われると刑務所思い出すんだろが❗おまえ知的障害者なのか⁉️
0
+2
1621

匿名さん

いや普通に番号で言えば良いじゃんww提供して貰ってる側なんだから提供してくれてる側に合わせろよ
-1
0
1620

匿名さん

>>1617おまえの母さんが風俗辞めれますようにお祈りします!
0
+3
1619

匿名さん

>>1617 おまえのガキおまえの種じゃねぇ事知って てノンキに生意気タレてんのかぁ?
0
+2
1618

匿名さん

>>1617おっさん❗おまえの事だな!おまえはいいから母国帰って寝てな!
0
+2
1617

匿名さん

銘柄覚えろだの文句垂れる客は手間がかかるから来なくていい。
-2
0
1616

匿名さん

>>1612 うん、だからタバコ買いたい人はコンビニから離れればいい。
0
0
1615

匿名さん

追い越し車線はカンニング竹山先生の為に空けておけ❗
0
0
1614

匿名さん

十六歳に中出しして何が悪いと名言吐いた狩野淫行氏を見習え!ボケ共が
0
+1

名前全8文字マデ

本文必須全4000文字マデ

※本文にサイトurlや画像urlを貼りつける事も可能です

画像5MBマデ

コメントを投稿