「ルール守っているのに、なぜ...」 過熱する「タバコ叩き」、喫煙者の本音は

「ルール守っているのに、なぜ...」 過熱する「タバコ叩き」、喫煙者の本音は

4670コメント

このトピックをブックマーク

いいね! LINEで送る ブックマーク メールで送る
4493

匿名さん

>>4489 意味がわからない 喫煙すると頭がおかしくなるのは本当だな
-1
+3
4492

匿名さん

iQOSは煙草よりくさい
0
+2
4491

匿名さん

吸った後の奴とすれ違うと体に着いてる匂いがたまらなく臭い。 喫煙してた頃は気にもしなかった。
0
+5
4490

匿名さん

喫煙者って頭おかしいのかな?体に悪い毒を見にまとって生きてる自覚ある?生きてるだけで他人に迷惑かけてるんだよおまえら
-2
+7
4489

匿名さん

ガチで毛嫌いする奴らのガチはヒステリックの域だからな
-5
+2
4488

匿名さん

タバコ吸おうがそうじゃなかろうが人の勝手 ただタバコ嫌いな人もいるんだから吸う場所吸い方考えろよって話 路上タバコ歩きタバコしながら煙り吹きかけてくるような馬鹿もいるから 同じスモーカーでも凄まじく迷惑スモーカーにはイライラするもん 喫煙所でタバコ吸って灰皿で火消して捨てたらいきなり舌打ちしながら手にタバコで焼き入れられそうになったこともあるけどあれもなんなの? 非スモーカーもなにもそこまで過敏過剰にノイローゼみたいに毛嫌いする必要なくね?って思う奴らもいるね まぁスモーカーに迷惑して肩身狭いなぁと思ってるスモーカーもいますよ 体感的には一年位前からね この手の多いよ
-1
0
4487

匿名さん

「ルール守っているのに、なぜ...」 過熱する「タバコ叩き」、喫煙者の本音は:コメント4487
受動喫煙(二次喫煙)対策は具体的な法案も成立し、あとは4/1の全面施行を待つだけです。 しかし対策が全面施行されても受動喫煙による死者が減ることはありません。 なぜならば受動喫煙(三次喫煙)による被害がなくならないからです。 三次喫煙とは、喫煙者の吐く息や衣服に染みついたニコチンが空気によって化学変化を起こし、発ガン物質となり周囲に被害をもたらすことです。 つまり、屋内を完全禁煙にしようが、どれだけ分煙をうたおうが、喫煙者が見えない毒ガスを吐き、発ガン物質をまき散らしながら歩き回る以上、被害はなくならないのです。 そういった現状を改善していくには、まずは周知することです。ツイッターその他SNS、掲示板にどんどん拡散して下さい。 屋内禁煙、分煙では意味がありません。喫煙者が存在する限りニコチンによる被害はなくならないのです。 地上から煙草を撲滅しましょう。

--- 受動喫煙の対策済み病院にも落とし穴!「三次喫煙」に対する認識とマナー ---

しばしばメディアを騒がせる受動喫煙対策。世界各国と比べ、日本はとても遅れているとも指摘されています。三次喫煙や30分ルールなど、近年になって日本人も注目しはじめた新たな受動喫煙の形について、きちんと認識すべき時代が来ているのかもしれません。
0
+3
4486

匿名さん

実際マナーを守ってない奴らが多いから叩かれるんです 歩きタバコ路上タバコ迷惑 火のついたタバコを近付けられると殺意感じる やけど負わされたり服焼かれたこと何度もあるからね くわえたばこしながらチャリだの自転車だので突っ込もうとしてくる奴らなんか本当死んでくれと思ってる こちらもヘビースモーカーだけど迷惑してるよ
0
+4
4485

匿名さん

>>4482 小中からタバコ吸ってて、生きてきた人生の中で俺様、女王様気取りでイキってるやつら全員の事だろうから誰がとかはないんじゃないかな
0
0
4484

匿名さん

>>4481 支援
0
+2
4483

匿名さん

「ルール守っているのに、なぜ...」 過熱する「タバコ叩き」、喫煙者の本音は:コメント4483
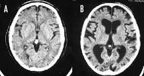
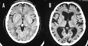
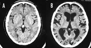
喫煙をすると頭が悪くなるのは本当です。 長期の喫煙により大脳皮質が薄くなり、認知機能が低下してしまうのです。 ※画像左(A)は正常の脳、右(B)は喫煙者の脳です。 左の脳と比べて、右の脳は萎縮し隙間だらけになっています。 喫煙をやめても元の状態に回復するまで数十年かかるそうです。

--- 「喫煙者の脳」やはり異変が起きていた(石田雅彦) - Yahoo!ニュース ---

タバコを吸うと脳がすっきりするのは真っ赤な嘘だ。研究によれば喫煙者の脳では明らかに異常が起きている。認知機能も低下し、大脳皮質が元に戻るのには25年もかかる。一刻も早くタバコなど止めたほうがいい。
0
+5
4482

匿名さん

>>4480 タバコを吸う=おらつくにしたのはお前らの誰か
-3
0
4481

匿名さん

酸欠になりそうな口の臭さ。 コーヒー飲むとうんこ臭い。 すれ違うだけで臭い。吸ってなくても漂う悪臭。家から出ないで欲しい。感覚器官が麻痺してるから自分が周りに迷惑をかけているのがわからないから最悪。
0
+8
4480

匿名さん

>>4479 それ喫煙スレで言うことか?
0
+7
4479

匿名さん

>>4477 俺はネット弱者だぞw 俺がしゃばにいるのと北朝鮮問題の解決とどういう関係性が?
-7
0
4478

匿名さん

喫煙したら死刑にすれば良い
0
+5
4477

匿名さん

>>4475 お前が娑婆にいるのが全ての答え くだらない主張もリアルに実行すれば捕まるのが本当はよくわかってんだよな お前が強いのは脳内もしくはネットでだけ 現実にはイキがりながらもルールの範囲内で生きてるダセー奴なんだよ
0
+8
4476

匿名さん

>>4474 4473は判断力の話じゃなく感性の話なので判断力について話すところは無さそうだ。 何かあればどーぞ。
-6
0
4475

匿名さん

>>4474 判断力がないのは非喫煙者のようだねw まずは暴力の方から。 では北朝鮮のミサイル問題の解決方法を教えてくれw それといきなりぶん殴られて拉致られた時の対策方法も教えてくれw 警察、被害届を出すだと対応出来ねーぞw
-10
+1
4474

匿名さん

「ルール守っているのに、なぜ...」 過熱する「タバコ叩き」、喫煙者の本音は:コメント4474
>>4472 >>4473 喫煙するとBの脳みそになって こういう発言をするようになるというよい例だな 認知症が進んで判断力が狂ってる
0
+9

名前全8文字マデ

本文必須全4000文字マデ

※本文にサイトurlや画像urlを貼りつける事も可能です

画像5MBマデ

コメントを投稿