「ルール守っているのに、なぜ...」 過熱する「タバコ叩き」、喫煙者の本音は

「ルール守っているのに、なぜ...」 過熱する「タバコ叩き」、喫煙者の本音は

4670コメント

このトピックをブックマーク

いいね! LINEで送る ブックマーク メールで送る
4349

匿名さん

タバコ吸うやつって自分が臭いのが分からないやつ多いよな。 タバコ吸ってるお前ら体も臭いし口も臭い。 タバコの吸いすぎでお前らの鼻イカれてるから分からないかもしれないけど。タバコ吸うなら外から1歩も出ないで欲しい。
-1
+7
4348

匿名さん

GJ
0
+2
4347

匿名さん

「ルール守っているのに、なぜ...」 過熱する「タバコ叩き」、喫煙者の本音は:コメント4347

--- 迷惑なコンビニの店頭灰皿・喫煙所の撤去を禁煙学会が求めました | 公益社団法人 受動喫煙撲滅機構 ---

 利用者にとっては出入り時の受動喫煙(店内への流入もよくある)、またさらに多くの、前の歩道を通るだけの通行人にとっても、迷惑きわまりない、コンビニ店頭の灰皿。 当サイトでもたびたび一般報道などをとりあげてきましたが、→末尾に今までの記事リンク このたび、禁煙運動でもっとも規模と活動範囲が広いパワフルな団体、「一般社団法人 日本禁煙学会」が、喫煙所撤去の申し入れを行い、またとてもわかりやすい啓発チラ
迷惑なコンビニの店頭灰皿・喫煙所の撤去を禁煙学会が求めました
0
+7
4346

匿名さん

馬鹿しかタバコは吸わない
0
+10
4345

匿名さん

「ルール守っているのに、なぜ...」 過熱する「タバコ叩き」、喫煙者の本音は:コメント4345
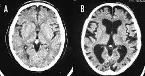
>>4341 大脳皮質が薄くなり認知機能が落ちる 『たばこ脳』 ※写真は左Aが正常の脳、右Bが喫煙者の脳です。 左の脳と比べて右の脳は隙間だらけになってしまっています。

--- 「喫煙者の脳」やはり異変が起きていた(石田雅彦) - Yahoo!ニュース ---

タバコを吸うと脳がすっきりするのは真っ赤な嘘だ。研究によれば喫煙者の脳では明らかに異常が起きている。認知機能も低下し、大脳皮質が元に戻るのには25年もかかる。一刻も早くタバコなど止めたほうがいい。
0
+11
4344

匿名さん

「ルール守っているのに、なぜ...」 過熱する「タバコ叩き」、喫煙者の本音は:コメント4344
喫煙者が吐く息は体に悪い 副流煙による受動喫煙が身体に悪いことはご存知だと思いますが、喫煙者がたばこを吸った後に吐く息にも発がん性物質等、大量の有害物質が含まれていることを覚えておいてください。 さらに厄介なことに、喫煙者が吐く息には、喫煙後1時間経っても有害物質が含まれています。 例えば、一酸化炭素は最後の1本を吸ってから、最低8時間は息から出ているそうです。 喫煙後、吐く息によって有害物質を撒き散らし、周囲の空気を汚し続けているという訳です。

--- 喫煙後30分間はアナタは毒を巻き散らかして周りを不健康にしています : 身体軸ラボ シーズン2 ---

という画像。http://www.jatahq.org/tobacco_ngo/poster/2018jataposter.pdf禁煙ポスターhttp://www.jatahq.org/tobacco_ngo/tobacco-poster.htm奈良県生駒市が、喫煙した職員は「45分間、エレベーターの利用を禁止」とする受動喫煙対策を4月1日から導入する。庁内での表示で

--- 予想より大きい受動喫煙の害 | 医療ポータルサイト ---

予想より大きい受動喫煙の害について解説しています。
0
+14
4343

匿名さん

「ルール守っているのに、なぜ...」 過熱する「タバコ叩き」、喫煙者の本音は:コメント4343
受動喫煙(二次喫煙)対策は具体的な法案も成立し、あとは来年の全面施行を待つだけです。 しかし、来年以降になっても受動喫煙による死者は減ることはありません。 なぜか?それは受動喫煙(三次喫煙)による被害がなくならないからです。 三次喫煙とは、喫煙者の吐く息や衣服に染みついたニコチンが空気に触れることで化学変化を起こし、発ガン物質となり周囲に被害をもたらすことです。 つまり、屋内を完全禁煙にしようがどれだけ分煙をうたおうが、喫煙者が見えない毒ガスを吐き、発ガン物質を撒き散らしながら歩き回る以上は全くの無意味なのです。 そういった現状を改善していくには、まずは周知することです。ツイッターその他SNS、掲示板にどんどん拡散して下さい。 屋内禁煙、分煙は無意味です。喫煙者が存在する以上はニコチンによる被害はなくなりません。 地上から煙草を撲滅しましょう。

--- 受動喫煙の対策済み病院にも落とし穴!「三次喫煙」に対する認識とマナー ---

しばしばメディアを騒がせる受動喫煙対策。世界各国と比べ、日本はとても遅れているとも指摘されています。三次喫煙や30分ルールなど、近年になって日本人も注目しはじめた新たな受動喫煙の形について、きちんと認識すべき時代が来ているのかもしれません。
0
+13
4342

匿名さん

>>4341 モノを燃やして煙を吸い込み、人体に有害な煙を吐き出す行為を普通と言ってしまう感覚。 それに『笑笑』をつけて他人に健康被害があることがわかっているのに蔑む感覚。 嫌煙家の口調が酷いとか書いてあったが、喫煙者も酷いな。
0
+13
4341

匿名さん

まあ普通に吸いますね笑笑
-11
0
4340

匿名さん

>>4339 あくまで『口調』だけで言えば実害を受けている分必死さがあるんだよ。子供たちや大切な人の健康被害を少なくしたいから。 大事なのは行動だと思うけどね。 有害な煙や臭いを撒き散らし他人の健康を害する行動をやめてもらいたいんだよ。
0
+4
4339

匿名さん

見てると嫌煙家の方が喧嘩口調で人格迄否定するような発言が多いな
-2
0
4338

匿名さん

煙草臭い迷惑
0
+2
4337

匿名さん

>>4330 典型的なスモーカーのすり替え論法 駄々をこねた子供みたいなこといって恥ずかしくないんかね
0
+5
4336

匿名さん

>>4330 タバコは医学的にも科学的にも毒の塊だから。毒でしかない訳。 毒が体に良い訳がないし、即死しなくてもジリジリと生命を奪うから。 タバコの害、もしくはなり得る病気を検索するだけで全てを見るには2、3日かかるよ。
0
+5
4335

匿名さん

>>4331 F1などのモータースポーツからのタバコメーカーのスポンサー広告費が無くなり、ヨーロッパやアメリカなどの先進国が喫煙に対する害を国レベルでちゃんと対応している。それに対して日本は後進国。 喫煙に対する悪い税金の使い方を放置状態。 日本のトップが愛煙家が多いのを含め、タバコ農家やタバコに関わる産業や雇用業者に政治家の身内、役人の天下り先が有り、タバコによる税収が流れている。 国はタバコに対する害や医療費は、別問題と言う認識。 まずはオリンピックイヤーで、飲食店での禁煙が上手く出来るか。
0
+6
4334

匿名さん

>>4330 ここはタバコのスレだからなぁ。 タバコ税の恩恵? それを言ったら酒税もガソリン税も同じことが言える。 即死しないだけで、確実に健康危害を加えている。 アスベストだってそうだよ。
0
+6
4333

匿名さん

「ルール守っているのに、なぜ...」 過熱する「タバコ叩き」、喫煙者の本音は:コメント4333
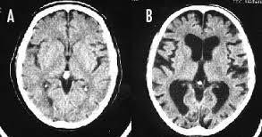
>>4330 大脳皮質が薄くなり認知機能が落ちる 『たばこ脳』 ※写真は左Aが正常の脳、右Bが喫煙者の脳です。 左の脳と比べて右の脳は隙間だらけになってしまっています。

--- 「喫煙者の脳」やはり異変が起きていた(石田雅彦) - Yahoo!ニュース ---

タバコを吸うと脳がすっきりするのは真っ赤な嘘だ。研究によれば喫煙者の脳では明らかに異常が起きている。認知機能も低下し、大脳皮質が元に戻るのには25年もかかる。一刻も早くタバコなど止めたほうがいい。
0
+4
4332

匿名さん

0
+3
4331

匿名さん

「ルール守っているのに、なぜ...」 過熱する「タバコ叩き」、喫煙者の本音は:コメント4331
>>4330 たばこ関連による損失>>>>>越えられない壁>>>>>たばこ関連による収益
0
+4
4330

匿名さん

タバコばかり批判されるのはおかしいよね。どんなに厳罰化されても飲酒運転は無くならないしタバコ吸って無い人も普通にタバコ税の恩恵受けてるんじゃないの?少なくともタバコは直接人を殺したこと無いよ?
-4
+1

名前全8文字マデ

本文必須全4000文字マデ

※本文にサイトurlや画像urlを貼りつける事も可能です

画像5MBマデ

コメントを投稿