美容整形失敗を語るトピ

美容整形失敗を語るトピ

232コメント

このトピックをブックマーク

いいね! LINEで送る ブックマーク メールで送る
110

匿名さん

>>109 高須でやったよ♪ わりときにいってる。
0
+5
109

匿名さん

鼻尖やった人いません?
0
+2
108

匿名さん

やはりいくら高くても整形だから信頼できる有名なとこ行くべきだよ
0
+3
107

匿名さん

そもそも病気でお世話になる医者と、整形科の医者は違うでしょう?整形科の医者は信用性ある?
-3
+2
106

無職♂5d2dc546

整形顔に魅力なし!!
-3
+5
105

匿名さん

整形するってことは、犯罪者『弱者』か何かですか?…
-5
+2
104

匿名さん

整形して単価が上がれば良いかもしれないけど、下がってまた整形してなんかやってたらメンテ大変だよ
0
+2
103

匿名さん

>>102 一週間のがまんだ がんばれ!
0
+4
102

匿名さん

二重今日やりました 腫れがぁぁぁやばいぁぁ
0
+2
101

匿名さん

エラは成長するよ
-2
0
100

匿名さん

今までに死亡事故を起こした 美容外科医の一覧を見つけたよ 私がカウセにいった○○も入ってた…怖! 手術別の名医・ヤブ医者の一覧も載ってたよ…!

--- 死亡事故を起こした美容外科医の一覧 ---

-4
+2
99

匿名さん

>>97 鼻プロテは飛び出すっていううわさがあるけどそれは下手な医者にあたったりしたときの話。 ちゃんと自分の鼻に合ったサイズを適所にいれればメンテナンスの必要はないよ。 でも下手な医者にあたれば皮膚の拘縮などで鼻が歪むこともある。 エラ削りは後戻りすることがないから成功すればかなり小顔になれるよ。 私は去年エラ頬やったけどお金かかったけどほんとうに満足してる。
0
+4
98

匿名さん

そんなことない。死に至るほどのミスがあまりないってだけで実際訴訟はかなり多いよ。安さにつられないで慎重に考えたほうがいいよ。
0
+2
97

匿名さん

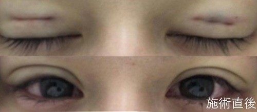
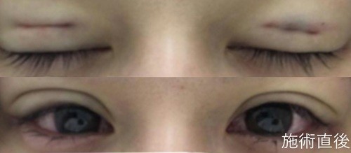
高校生のときに目を二重に一点止めの埋没方法でしました。半年くらい腫れてましたし、高校にその間も行ったので整形したよねとひそひそされてました。 半年後には綺麗な二重で自然と言われたし、性格も前向きになれたのでしてみて良かったです。 本当はエラを削って、ぺちゃんこな鼻を整えたいですが、異物を入れたり、永久的に持つのか等不安なので勇気持てません
-2
+3
96

匿名さん

埋没の糸が癒着してとれない…
0
+1
95

匿名さん

>>92 埋没3点留めだからってきれいにいくわけじゃないよ 糸の通し方と引っ張る強さが大事
-1
+3
94

匿名さん

今までに死亡事故を起こした 美容外科医の一覧を見つけたよ 私がカウセにいった○○も入ってた…怖! 手術別の名医・ヤブ医者の一覧も載ってたよ…!

--- 死亡事故を起こした美容外科医の一覧 ---

-1
+1
93

匿名さん

>>92 2点留めの問題というか幅が広すぎ デザインが下手なんだよ
0
+7
92

匿名さん

美容整形失敗を語るトピ:コメント92
埋没2点留め 三点留めするればよかった
0
+3
91

匿名さん

>>90 四点どめ。五年以上もってるよ。 湘南のクイックコスメティーク
0
+4

名前全8文字マデ

本文必須全4000文字マデ

※本文にサイトurlや画像urlを貼りつける事も可能です

画像5MBマデ

コメントを投稿